Dental Implant

Missing Teeth? Restore Your Smile with Trusted Dental Implants

Replace missing teeth permanently with advanced dental implants — planned with CBCT 3D imaging, guided by CAD/CAM technology, and placed with high-precision technique for natural-looking, lifelong results at DRFK Jumeirah 3.

Same Day Tooth Replacement

CBCT 3D + CAD/CAM Planning

Computer-Guided Precision Placement

98% Success · 19K+ Patients · 17+ Years Experience

Three Reasons Patients Choose DRFK for Dental Implants

Our three core USPs — Same Day Implant, CBCT 3D Imaging, and High-Precision Placement — set the standard for implant care in Dubai.

Same Day Dental Implant

No multi-month waits between appointments. When eligible, your implant is placed immediately after extraction — restoring your smile in a single visit with zero downtime to your daily life.

CBCT 3D Imaging & CAD/CAM

We use Cone Beam CT scanning and CAD/CAM digital design to plan every implant in three dimensions before a single instrument touches your mouth — for absolute precision and predictable outcomes.

High-Precision Placement

Every implant is placed using computer-guided protocols with sub-millimetre accuracy — minimising tissue trauma, maximising bone contact, and ensuring the highest possible integration success rate.

The Advantages of Dental Implants

Unlike dentures or bridges, dental implants are a permanent, bone-integrated solution — the closest thing to a natural tooth available in modern dentistry.

Natural Look & Feel

Blends seamlessly with your natural teeth

Permanent Bone Integration

Fuses with jawbone for stable, lasting support

Eat & Speak Normally

Strong function with no slipping or discomfort

Protects Adjacent Teeth

No grinding of healthy neighbouring teeth

Easy Maintenance

Care like natural teeth (brush, floss, check-ups)

Long-Term Lifetime Solution

Durable results with proper oral care and follow-up

Open for Appointments

Book your implant consultation today and find out if same-day implant placement is right for you.

Expert Dental Implant Care

Delivering advanced dental implant solutions with precision, international standards, and a patient-focused approach — from single tooth replacement to full-mouth restoration.

Patient-Centered Care

Personalised treatment plans tailored to each patient's oral health condition — ensuring transparency, comfort, and realistic expectations throughout the entire implant journey.

CBCT 3D Imaging & CAD/CAM Planning

Cone Beam CT imaging and digital CAD/CAM planning ensure accurate implant positioning, optimal bone engagement, and a fully predictable outcome — before any procedure begins.

Same Day Implant Placement

Immediate implant placement following extraction — where conditions allow — reducing treatment time, preserving jawbone structure, and getting you back to your life faster.

Innovation & Quality Materials

Continuous advancement in implant techniques and materials — using premium biocompatible titanium implants that integrate safely, durably, and effectively with the jawbone.

Experienced Implant Specialists

A highly skilled team of implantologists dedicated to managing simple to complex cases — from single implants to full-arch All-on-4 and All-on-6 restorations — with precision and care.

Trusted Dental Implant Clinic

Reliable, high-quality implant treatment backed by 17+ years of experience, a 98% success rate, and 19,000+ satisfied patients — restoring confidence and oral function every day.

Advanced Dental Implant Solutions

From single tooth replacement to full-arch restoration — every procedure is planned with CBCT 3D imaging, executed with high precision, and supported by long-term aftercare.

Single Tooth Implant

Replacement of a single missing tooth with a titanium implant and CAD/CAM custom crown — providing a permanent, natural-looking solution that integrates with the jawbone and does not affect adjacent teeth.

Same Day Option Available

Multiple Tooth Implants

Replacement of multiple missing teeth using several precisely placed implants to support individual crowns or a fixed bridge — a durable, permanent solution for comprehensive tooth replacement.

3D Planned · High Precision

All-on-4 / All-on-6 Implants

Full arch tooth replacement using 4 or 6 strategically placed implants — supporting a complete set of fixed teeth with immediate function and aesthetics. Planned with CBCT 3D imaging for precise angulation and maximum bone engagement.

Full Arch · Immediate Function

Immediate Implant Placement

Placement of a dental implant immediately after tooth extraction when conditions allow — reducing total treatment time, preserving bone structure, and delivering same-day results for eligible patients.

Same Day · Bone Preserving

Implant-Supported Prosthetics

Custom crowns, bridges, or dentures — designed and fabricated using CAD/CAM technology — that attach securely to implants, restoring full chewing function and a completely natural appearance.

CAD/CAM Custom Fabrication

Bone Grafting & Sinus Lift

For patients with insufficient jawbone density, bone grafting or sinus lift procedures augment bone volume — creating the adequate foundation needed for successful, stable implant integration.

Pre-Implant Preparation

About Implantology

Implantology is the study and application of implants across dentistry, orthopedics, and ophthalmology. It involves developing techniques, performing clinical procedures, and compiling knowledge to improve patient outcomes. In dentistry, implantology focuses on the placement of dental implants to replace missing teeth, restore oral function, and improve aesthetics. Our experienced implantologists use advanced techniques and high-quality materials to provide safe, effective, and long-lasting dental implant solutions.

Years Exp.
0 +
HAPPY PATIENTS
0 k+
Success
0 %
Years Exp.
0 +

What Our Patients Say About Us

Read genuine experiences from patients who trusted the DRFK team for dental implant consultations, restorative treatments, and advanced dental care solutions.

Smiles Restored
0 k+

Expert Dental Implant Care with Precision & Long-Term Results

We combine international expertise, advanced implant technology, and a patient-first approach to deliver natural-looking, long-lasting results with optimal function and aesthetics.

Same Day Implant — Walk In, Walk Out

Immediate implant placement following extraction — where eligible — reducing appointments, preserving bone, and restoring your smile in a single visit.

CBCT 3D Imaging & CAD/CAM Planning

Full three-dimensional jawbone assessment with cone beam CT scanning and CAD/CAM digital design — the most advanced pre-surgical planning available in dental implantology today.

High-Precision Placement · Sub-Millimetre Accuracy

Computer-guided surgical protocols deliver implants at the exact position, depth, and angulation planned digitally — minimising risk and maximising long-term integration success.

Trusted Implant Specialists · 98% Success Rate

Our experienced implantologists manage simple to complex cases — from single implants to full-arch All-on-4 and All-on-6 restorations — backed by 17+ years and 19K+ patients.

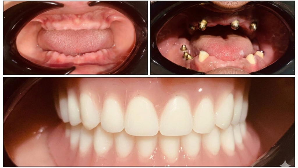
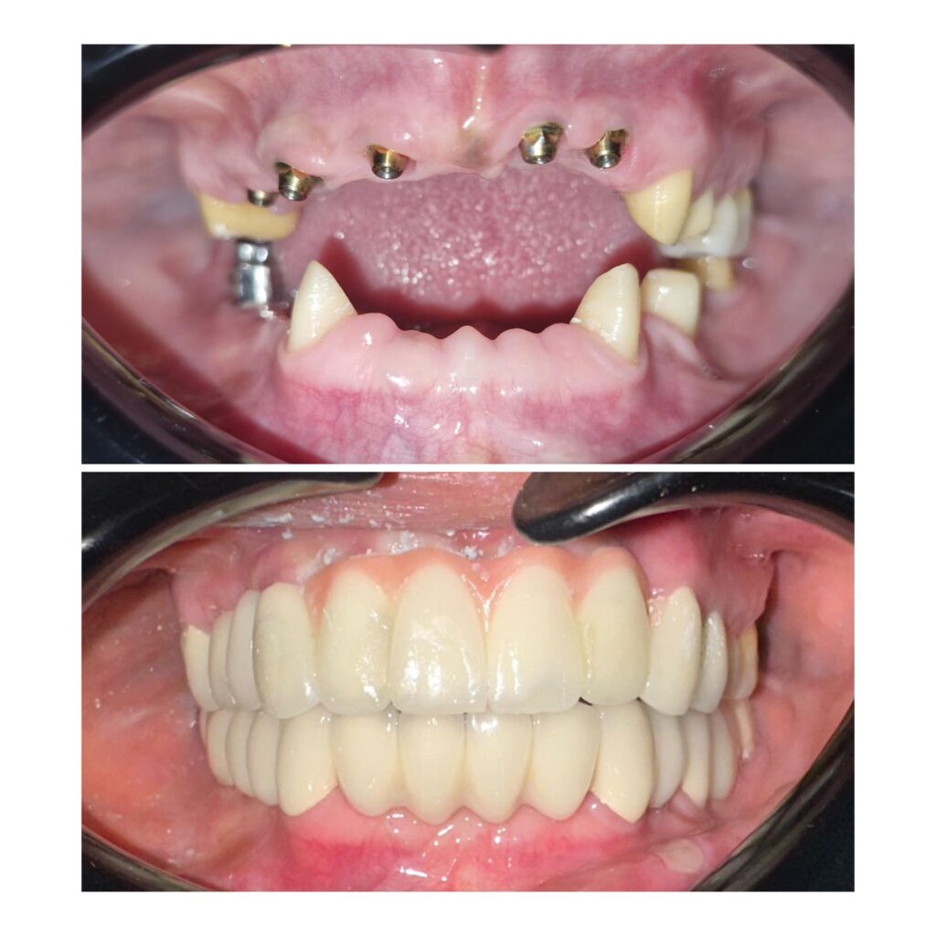
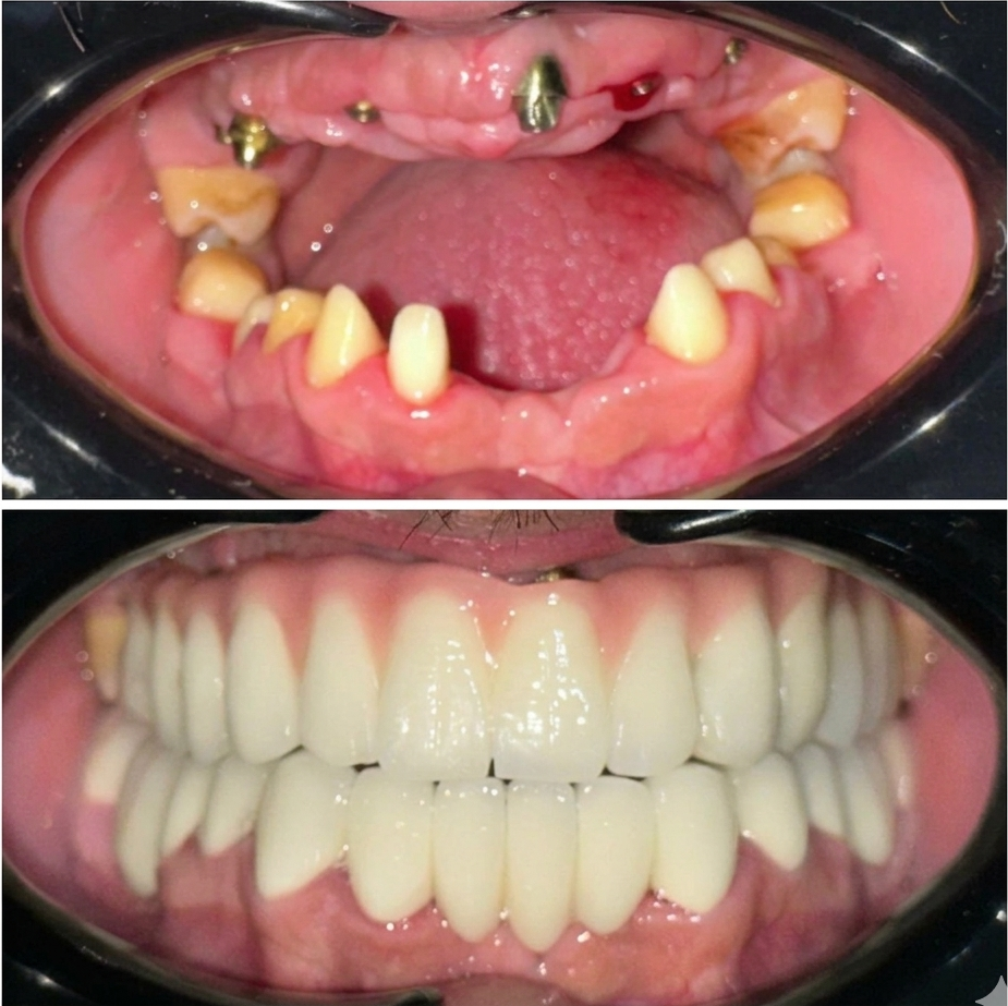
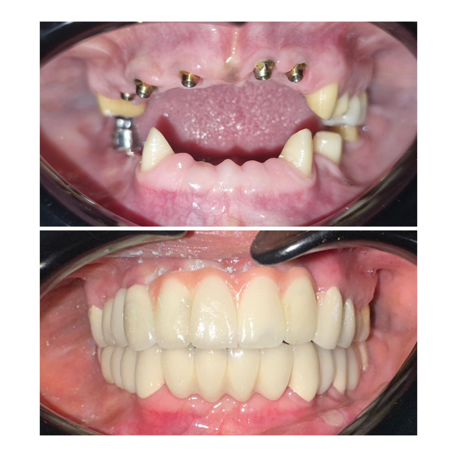
Dental Implantation Before & After

Get In Touch With Us

Contact our dental implant team to book your consultation, ask a question, or learn more about the most suitable treatment approach for restoring your teeth and oral health.

Monday - Friday

09:00AM – 07:00PM

Book An Appointment

Fill in your details and our team will contact you shortly to arrange your appointment and discuss the most suitable treatment options.

Frequently Asked Questions By Patients

Find helpful answers to common questions about dental implants, same-day procedures, 3D imaging, candidacy, recovery, and what to expect at our clinic.

We offer single tooth implants, multiple tooth implants, All-on-4 and All-on-6 full arch implants, implant-supported dentures, and immediate same-day implant placement. All procedures are planned using CBCT 3D imaging and CAD/CAM digital design, using premium biocompatible titanium implants that integrate safely and effectively with the jawbone.
Same-day implant placement is possible for many patients — particularly those requiring extraction of a failing tooth with adequate surrounding bone density. During your CBCT 3D scan consultation, our implantologist will assess your jawbone quality, gum health, and medical history to confirm eligibility. Where same-day is not suitable, we will present the most efficient treatment timeline for your case.
 
Most adults with one or more missing teeth and adequate jawbone density are good candidates. Patients with uncontrolled diabetes, severe bone loss, or certain medical conditions may require further assessment or bone grafting. Our team conducts a full CBCT 3D evaluation and medical history review at consultation to determine suitability and present all available options.
 
For same-day eligible patients, the implant is placed in a single visit. For standard cases, implant placement is followed by an osseointegration period of 3–6 months — during which the titanium fuses with your jawbone — before the final CAD/CAM crown or restoration is fitted. The total timeline varies by case complexity, bone quality, and treatment plan, which our team outlines clearly at consultation.
Implant placement is performed under local anaesthesia — most patients experience no pain during the procedure. Mild discomfort, swelling, or tenderness in the days following is normal and manageable with prescribed pain relief. Our minimally invasive, high-precision technique significantly reduces tissue trauma and post-operative discomfort compared to traditional implant approaches.
Implants are maintained like natural teeth — regular brushing, flossing, and professional dental check-ups. Avoid smoking during healing as it significantly increases implant failure risk. Our team provides detailed aftercare instructions following every procedure, and regular follow-up appointments ensure your implant is integrating correctly and performing at its best long term.

Open for Appointments

Contact our team to book your dental implant consultation or explore the most suitable restorative treatment options for your needs.

Copyright © 2026 DRFK. All Rights Reserved.